Cosmetic Dentistry
Everyone wants a beautiful smile, but many of us aren't born with one. However, your dream smile is still possible with cosmetic dentistry in St. Louis Park.

The dental office of Michael J Nelson, DDS, offers personalized cosmetic dental treatments for patients who desire a more attractive set of pearly whites.
Our Cosmetic Dentistry Services
Dr. Michael Nelson's artistic vision and commitment to clinical excellence make him a preferred cosmetic dentist in St. Louis Park. Our state-of-the-art dental office is equipped with the latest technologies to ensure precise, aesthetic, and comfortable outcomes.
We customize each of our treatments to meet your unique needs and smile goals. Our services include the following.
Full Mouth Restorations
Dr. Nelson performs full mouth restorations to repair or improve teeth, gum tissue, occlusion, and overall aesthetics. A complete mouth restoration can involve many treatments and procedures that enhance the patient's oral health, appearance, and comfort. Some procedures may include replacing teeth, restoring the gums or jaw, or restructuring the oral cavity.
Professional Teeth Whitening
We offer customized in-office and take-home Zoom! teeth whitening to remove stains and enhance luster.
Tooth-Colored Fillings
Tooth-colored fillings blend in with the natural shade of your teeth while restoring a decayed or damaged tooth.
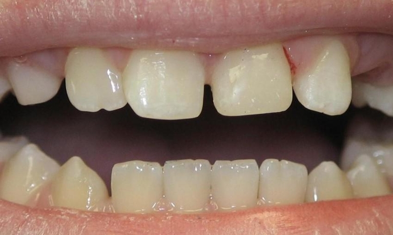
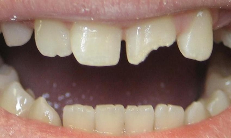
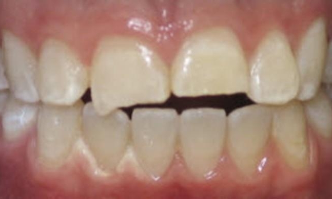
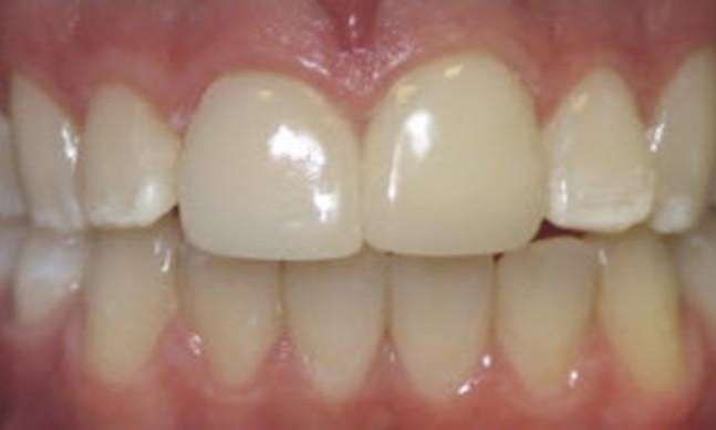
Dental Veneers
Veneers are thin pieces of material that cover the front surfaces of cracked, discolored, or gapped teeth. We use porcelain veneers, which are stain-resistant and mimic natural enamel in strength and appearance.
Invisalign Clear Aligners
Invisalign is a modern orthodontic system that uses clear aligner technology to straighten crooked teeth.
Dental Bonding
Like tooth-colored fillings, dental bonding consists of composite resin to conceal blemishes.
Dental Implants
Dental implants permanently replace missing teeth, restore function, and promote jawbone health.
Dental Crowns
A dental crown is placed over a natural tooth to improve wear, decay, deep discoloration, or unevenness in size or shape.
Benefits of Cosmetic Dentistry 
Cosmetic dentistry is versatile. Our treatments can correct several imperfections, such as stains, misshapen teeth, gaps, cracks, chipped, gummy smiles, and much more.
Cosmetic dentistry can energize your appearance. Unfortunately, tooth loss, dental emotions, and staining are common with aging. Correcting these issues can take several years off your appearance and make you look younger.
Cosmetic dentistry can enhance your career. According to a national survey by the American Academy of Cosmetic Dentistry, 96% of adults believe an attractive smile makes a person more appealing, and 74% of adults feel an unattractive smile can hurt a person's chances for career success. If you have a smile you're proud of, you may be more likely to perform at a higher level, socialize, or take on leadership roles.
Cosmetic dentistry can prevent dental damage. Cosmetic dentistry is mainly designed to improve aesthetics, but it can also strengthen your teeth. For example, covering fractures or correcting malocclusion can prevent excessive wear on your teeth.
Cosmetic dentistry can boost your self-esteem. An attractive, healthy smile can boost your self-confidence. You may find yourself more excited to meet others, make connections, and put your best smile forward.
Are You Ready to Revive Your Smile?
The dental office of Michael J Nelson, DDS, is here to help you on your path toward a brighter, more beautiful smile. We offer various cosmetic dental treatments to create the grin you have always wanted. Please contact us today to schedule your cosmetic dentistry consultation with Dr. Nelson.