Michael J Nelson DDS
Michael J Nelson DDS
Request an Appointment
Like us on Facebook
Leave a Google Review
Call Now
(952) 920-4060
8001 Hwy 7, STE 300
St Louis Park, MN 55426
Pay Your Bill
Home
About
Our Team
Technology
Office Pictures
Services
View All
Children’s Dentistry
Invisalign
Teeth Whitening
Preventive Dentistry
Cosmetic Dentistry
Crowns and Bridges
Tooth Extractions
Dentures
Tooth-Colored Fillings
Porcelain Veneers
General Dentistry
Root Canal Therapy
TMJ and Bruxism
Smile Gallery
Patient Info
View Patient Info
Testimonials
Forms
Financial
FAQs
Contact
Michael J Nelson DDS
>
Smile Gallery
>
Porcelain Veneers
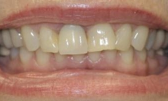
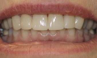
Porcelain Veneers
Return to Smile Gallery
Next
Related Services:
Porcelain Veneers
Click image to see a larger picture
Before
After
Not finding what you need?
Contact Us
If you have difficulty using our website, please
email us
or call us at
(952) 920-4060
View the
ADA Accessibility Statement
Turn on ADA Views
Privacy Policy
OK!
×
×
Contact Us Today
Give Us A Call
Michael J Nelson DDS -
(952) 920-4060
Send Us an Email
Request an Appointment
Contact Us
Ready to Schedule an Appointment?
Book Online
Have Questions? Contact Us:
Required Field
Your Name:
Phone:
Email:
Are you a new patient?:
Are you a?
New Patient
Current Patient
How would you like us to contact you?
Please choose
Email
Call
How did you hear about us?
Please choose
I'm an existing patient
Google/Bing
Mailer
Word of mouth
Social media
Other
Who Referred You?:
Appointment Preferences
Monday
Tuesday
Wednesday
Thursday
Your Message:
This site is protected by reCAPTCHA and the Google
Privacy Policy
and
Terms of Service
apply.
Sending...
×
This Patient's Experience
Loading Testimonial...
Loading Case...